Orthodontic Smile Gallery
Results That Speak for Themselves

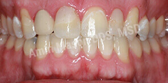
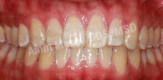
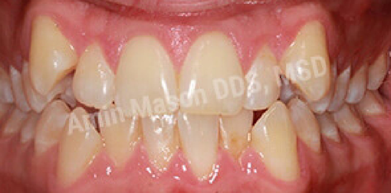
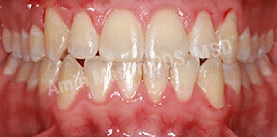
Over the years, Dr. Amin Mason has transformed countless smiles for the better with his high-quality orthodontic options and proven expertise. In our gallery, you can see many of these improvements for yourself – you may even find the results that you’re hoping to achieve by visiting Polaris Orthodontic Center! Contact our Columbus, OH office today to schedule your first appointment.
Please select a category:
Patient Reviews