Corrective Jaw Surgery Columbus
Restoring Balance to Your Bite, Smile & Face

Corrective jaw surgery (orthognathic surgery) treats and corrects abnormalities of the facial bones, specifically the jaws and the teeth. Often, these abnormalities cause difficulty associated with chewing, talking, sleeping, and breathing. Also known as orthognathic surgery, corrective jaw surgery in Columbus fixes these problems and, in conjunction with orthodontic treatment, will improve the overall appearance of the facial profile dramatically. In many adults, jaw surgery will lead to a more youthful appearance.
Why Choose Polaris Orthodontic Center for Corrective Jaw Surgery?
- Award-Winning Board-Certified Orthodontist
- Highly Trained to Handle Even Complex Cases
- Able to Combine Surgery & Traditional Ortho Care
How Does Combined Orthodontic-Surgical Treatment Work?

Your surgical treatment is coordinated between the orthodontist and the oral surgeon. The orthodontist will start your orthodontic treatment with braces or aligners and will prepare the patient for the surgery by the surgeon (pre-surgical orthodontic treatment phase). During the pre-surgical orthodontic treatment phase, the orthodontist will typically reduce the dental compensation in the patient’s dentition, which usually results in worsening the patient’s malocclusion (bite). Once the surgery has been performed by the oral surgeon, the orthodontist will finish the orthodontic treatment (post-surgical orthodontic treatment phase). With new advances in surgical techniques, the post-surgical recovery time has been significantly reduced, and patients can return to normal activity in a short time (7-14 days).
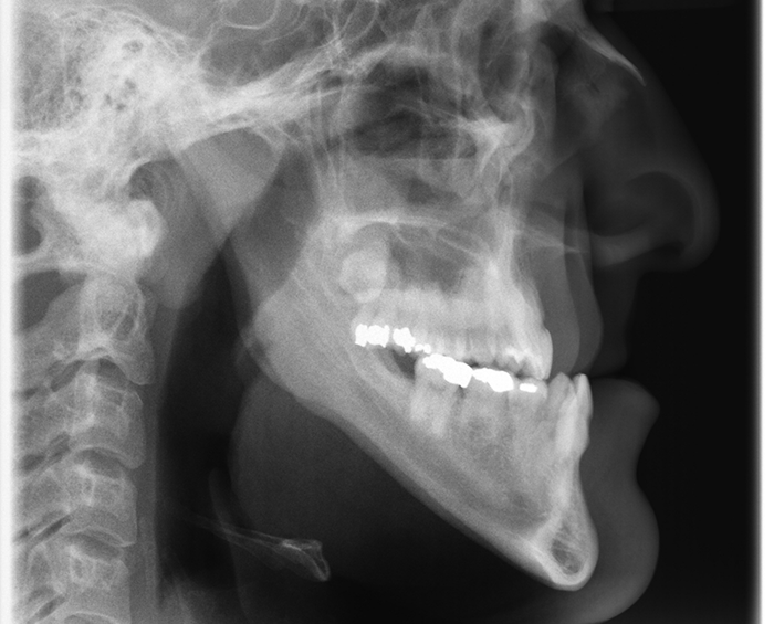
Surgical Case
Patient presented with a class III profile, underbite. The patient underwent orthodontic and surgical treatment. Facial profile showed significant improvement.
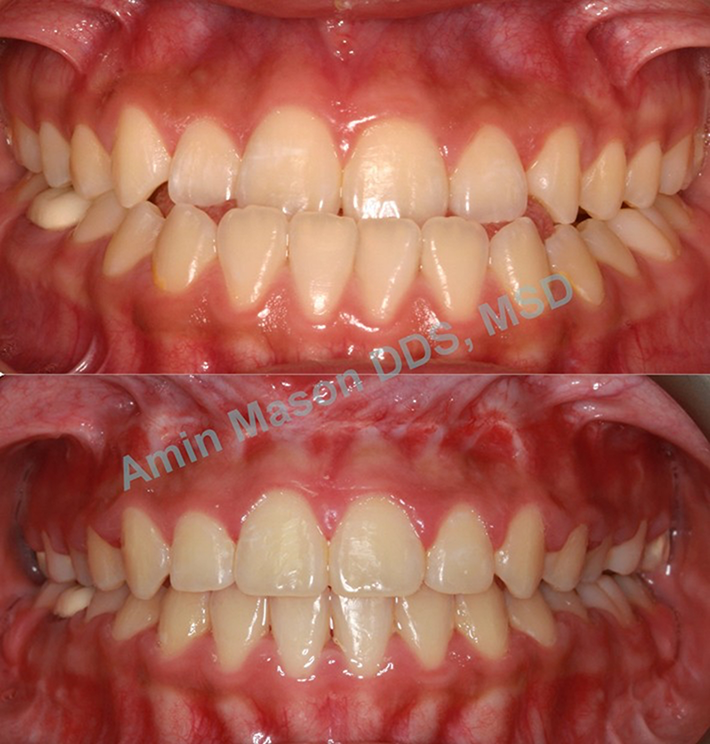
Chin Deficient Case
The following patient presented with a class II profile with a deficient lower jaw. Patient refused surgical treatment and elected to only align her teeth.
Patient Reviews